Inhalt
Rindernekrobakteriose ist eine ziemlich häufige Krankheit in allen Regionen und Regionen der Russischen Föderation, in denen Nutztiere beschäftigt sind. Die Pathologie verursacht schwerwiegende wirtschaftliche Schäden in landwirtschaftlichen Betrieben, da Rinder während der Krankheitsphase die Milchproduktion und bis zu 40% ihres Körpergewichts verlieren. Nutztiere und Menschen sind anfällig für Nekrobakteriose. Die Krankheit wird am häufigsten in Zucht- und Mastbetrieben registriert und ist durch Läsionen der Gliedmaßen gekennzeichnet. Die Hauptursache für diese Krankheit bei Rindern ist die Verletzung von veterinärmedizinischen, hygienischen und technologischen Standards. Es kann in akuter, chronischer und subakuter Form ablaufen.
Was ist Nekrobakteriose?

Untersuchung der Mundschleimhaut von Rindern
Rindernekrobakteriose hat einen anderen Namen - Rinderpanaritium. Die Krankheit ist infektiös und durch eitrige Läsionen und Nekrose von Bereichen im Huf, in interdigitalen Fissuren und in der Krone gekennzeichnet. Manchmal sind Euter, Genitalien, Lunge und Leber betroffen. Bei jungen Menschen wird häufig eine Nekrose der Schleimhäute im Mund beobachtet.
Ohne eine angemessene Therapie und ein schwaches Immunsystem des Tieres nimmt die Krankheit innerhalb weniger Wochen eine ernstere Form an. Bakterien vermehren sich ziemlich schnell, dringen in innere Organe und Gewebe ein und verursachen schwere Vergiftungen im Körper von Rindern.
Die Nekrobakteriose von Rindern begann sich in den frühen 70er Jahren auf Farmen aktiv auszubreiten, nachdem eine große Menge von Zuchttieren das Gebiet der ehemaligen UdSSR betreten hatte. Bis heute tun Tierärzte alles, um eine so aktive Ausbreitung der Krankheit zu verhindern. Extremitäteninfektionen gelten als die größte Bedrohung für Milchviehbetriebe, da nur eine gesunde Kuh eine hohe Milchproduktion erzielen kann. Dies erfordert gute, starke Gliedmaßen, um sich aktiv zu bewegen. Mit Schmerzen in den Beinen essen die Menschen weniger, bewegen sich herum, wodurch die Milchproduktion erheblich reduziert wird.
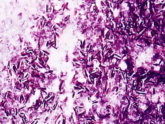
Der Erreger der Nekrobakteriose bei Rindern
Der Erreger der Nekrobakteriose bei Rindern ist ein unbeweglicher toxinbildender anaerober Mikroorganismus. Ein angenehmer Lebensraum für ihn ist der Verdauungstrakt des Viehs. Bei Kontakt mit Sauerstoff stirbt es sofort ab. In den betroffenen Geweben und Organen bildet das Bakterium lange Kolonien, einzelne Mikroorganismen sind seltener.

Der Erreger der Nekrobakteriose bei Rindern
Der Erreger ist in 4 Typen unterteilt, von denen die Serotypen A und AB am pathogensten sind. Im Laufe des Lebens bilden sie toxische Verbindungen, die an der Entwicklung der Krankheit beteiligt sind. Das Bakterium stirbt ab und verliert seine pathogene Wirkung:
- während des Kochens für 1 Minute;
- unter dem Einfluss von Sonnenlicht - 10 Stunden;
- unter dem Einfluss von Chlor - eine halbe Stunde;
- bei Kontakt mit Formalin Alkohol (70%) - 10 Minuten;
- aus Natronlauge - nach 15 Minuten.
Das Nekrobakteriose-Bakterium ist auch empfindlich gegenüber Antiseptika wie Lysol, Creolin, Phenol, Arzneimitteln aus der Tetracyclin-Gruppe. Der Erreger kann lange Zeit (bis zu 2 Monate) im Boden, Gülle, lebensfähig bleiben (bis zu 2 Monate). In Feuchtigkeit lebt das Bakterium bis zu 2-3 Wochen.
Infektionsquellen und -wege
Der Erreger einer Rinderinfektion gelangt mit verschiedenen Sekreten von Individuen in die Umwelt - Kot, Urin, Milch, Schleim aus den Genitalien. Die Infektion erfolgt durch Kontakt. Mikroorganismen gelangen über die Wundoberfläche der Haut oder der Schleimhäute in den Körper von Rindern. Die Gefahr wird von Personen mit einem ausgeprägten Krankheitsbild der Krankheit und erholten Tieren verursacht.
Normalerweise wird die Krankheit auf dem Bauernhof nach der Lieferung einer Charge Vieh von einem funktionsgestörten Bauernhof aufgezeichnet, ohne dass eine 30-tägige Quarantäne eingehalten wird. Darüber hinaus ist die Nekrobakteriose von Natur aus periodisch und verschlimmert sich in der Herbst-Frühlingssaison, insbesondere wenn sich die Fütterung und die Haftbedingungen verschlechtern. Darüber hinaus haben folgende Faktoren einen großen Einfluss auf die Entwicklung der Krankheit:
- vorzeitige Reinigung von Gülle;
- schlechter Boden in der Scheune;
- Mangel an Huftrimmen;
- hohe Luftfeuchtigkeit;
- Hautparasiten und andere Insekten;
- Trauma, Verletzung;
- verminderter Körperwiderstand;
- Wandern in Feuchtgebieten;
- Mangel an veterinärmedizinischen, zootechnischen Maßnahmen in landwirtschaftlichen Betrieben und Betrieben.
Im Körper von Rindern breitet sich die Infektion mit dem Blutfluss aus, so dass sekundäre Schadensbereiche im Gewebe gebildet werden und sich eine Nekrose in Herz, Leber, Lunge und anderen Organen entwickelt. Sobald die Krankheit in diese Form übergeht, wird die Prognose ungünstiger.
Symptome einer Nekrobakteriose bei Rindern
Es ist schwierig, die Manifestationen der Krankheit ohne eine Untersuchung durch einen Tierarzt zu erkennen, da die Symptome der Nekrobakteriose im Körper von Rindern auch für eine Reihe anderer Pathologien charakteristisch sind.

Die Niederlage der Gliedmaßen von Rindern durch Nekrobakteriose
Häufige Symptome einer Infektion sind:
- Appetitlosigkeit;
- depressiver Zustand;
- geringe Produktivität;
- Einschränkung der Mobilität;
- Verlust des Körpergewichts;
- Herde eitriger Hautläsionen, Schleimhäute, Gliedmaßen von Rindern.
Bei einer Nekrobakteriose der Extremitäten (Foto) nimmt ein Rinder die Beine unter sich auf und humpelt. Die Untersuchung der Hufe zeigt Schwellung, Rötung und eitrigen Ausfluss. Im ersten Stadium der Krankheit hat die Nekrose klare Grenzen, dann dehnen sich die Läsionen aus, es bilden sich Fisteln und Geschwüre. Beim Abtasten treten starke Schmerzen auf.
Die Haut ist am häufigsten im Nacken, in den Gliedmaßen über den Hufen und in den Genitalien betroffen. Es manifestiert sich in Form von Geschwüren und Abszessen.
Mit der Entwicklung einer Nekrobakteriose bei Rindern leiden Mund, Nase, Zunge, Zahnfleisch und Kehlkopf an den Schleimhäuten. Bei der Untersuchung sind Nekroseherde und Geschwüre sichtbar. Infizierte Personen haben einen erhöhten Speichelfluss.
Die Nekrobakteriose des Euters von Rindern ist durch das Auftreten von Anzeichen einer eitrigen Mastitis gekennzeichnet.
Bei der Nekrobakteriose von Rindern treten nekrotische Formationen in Magen, Lunge und Leber aus den inneren Organen auf. Diese Form der Krankheit ist die schwerste. Die Prognose der Krankheit ist ungünstig. Das Tier stirbt nach einigen Wochen an Erschöpfung des Körpers.
Die Nekrobakteriose verläuft bei reifen Rindern und Jungtieren unterschiedlich. Bei erwachsenen Tieren kann die Inkubationszeit bis zu 5 Tage dauern, und dann wird die Krankheit chronisch. In diesem Fall ist die Infektion schwer zu behandeln.Manchmal beginnen sich Bakterien im Lymphsystem auszubreiten, was zu Gangrän oder Lungenentzündung führt.
Die Inkubationszeit bei jungen Menschen beträgt nicht mehr als 3 Tage, danach wird die Pathologie akut. Jungtiere haben schweren Durchfall, der zu einer raschen Dehydration führt. Die Todesursache ist in der Regel eine Blutvergiftung oder -verschwendung.

Impfung von Rindern gegen Nekrobakteriose
Diagnose der Nekrobakteriose bei Rindern
Die Diagnostik erfolgt umfassend unter Berücksichtigung epizootologischer Daten, klinischer Manifestationen, pathologischer Veränderungen sowie mithilfe von Laboruntersuchungen gemäß den Anweisungen für die Nekrobakteriose von Rindern. Die Diagnose kann in mehreren Fällen als genau angesehen werden:
- Wenn Labortiere infiziert werden, entwickeln sie an der Injektionsstelle nekrotische Herde, an denen sie sterben. Die Kultur des Erregers findet sich in Abstrichen.
- Bei der Bestimmung einer Kultur aus pathologischem Material mit anschließender Infektion von Labortieren.
Bei der Durchführung von Differentialanalysen ist es wichtig, die Infektion nicht mit Krankheiten wie Brucellose, Pest, Lungenentzündung, Tuberkulose, Maul- und Klauenseuche, aphthöser Stomatitis und eitriger Endometritis zu verwechseln. Diese Pathologien haben ähnliche klinische Manifestationen mit Nekrobakteriose. Darüber hinaus sollten Tierärzte Laminitis, Dermatitis, Erosion, Geschwüre und Hufverletzungen sowie Arthritis ausschließen.
Nachdem sich die Tiere erholt hatten, wurde die Entwicklung einer Immunität gegen Nekrobakteriose bei Rindern nicht festgestellt. Zur Immunisierung wird ein polyvalenter Impfstoff gegen Rindernekrobakteriose verwendet.
Alle Arten der Laborforschung werden in mehreren Schritten durchgeführt. Zunächst werden Kratzer aus infizierten Geweben und Schleimhäuten entnommen. Zusätzlich werden Urin, Speichel und Abstriche aus den Genitalien gesammelt.
Der nächste Schritt wird die Isolierung und Identifizierung des Erregers der Nekrobakteriose sein. Die letzte Phase beinhaltet einige Untersuchungen an Labortieren.
Pathologische Veränderungen bei toten Personen mit Nekrobakteriose der Gliedmaßen bei Rindern deuten auf eitrige Arthritis, Ansammlung von Exsudat in Muskelräumen, Tendovaginitis, Abszesse unterschiedlicher Größe, phlegmonöse Formationen und Nekroseherde in den Oberschenkelmuskeln hin. Bei der Nekrobakteriose von Organen, Abszessen, die eine eitrige Masse enthalten, werden Nekrosen gefunden. Es werden eitrig-nekrotische Lungenentzündungen, Pleuritis, Perikarditis und Peritonitis festgestellt.

Nekrobakteriose der Haut von Rindern
Behandlung der Nekrobakteriose von Rindern
Unmittelbar nach der Diagnose einer Nekrobakteriose sollte mit der Behandlung begonnen werden. Zunächst muss das infizierte Tier in einem separaten Raum isoliert werden, wobei die betroffenen Bereiche chemisch gereinigt und abgestorbenes Gewebe entfernt werden müssen. Waschen Sie die Wunden mit einer Lösung aus Wasserstoffperoxid, Furacillin oder anderen Mitteln.
Da das Bakterium eine Art Barriere zwischen den Gefäßen und den infizierten Geweben bildet, ist das Eindringen von Arzneimitteln sehr schwierig. Deshalb werden Antibiotika zur Behandlung der Nekrobakteriose bei Rindern in etwas überschätzten Dosierungen verschrieben. Die wirksamsten Medikamente sind:
- Erythromycin;
- Penicillin;
- Ampicillin;
- Chloramphenicol.
Topische antibakterielle Mittel wie Aerosolantibiotika haben vorteilhafte Wirkungen gezeigt. Sie werden nach der chemischen Reinigung von Hufen verwendet.
Eine Gruppentherapie, die auf regelmäßigen Fußbädern basiert, ist weit verbreitet. Die Behälter werden an den Stellen installiert, an denen sich das Tier am häufigsten bewegt. Das Bad enthält Desinfektionsmittel.
Das Behandlungsschema für Nekrobakteriose bei Rindern wird von einem Tierarzt auf der Grundlage der durchgeführten Untersuchungen erstellt. Darüber hinaus kann er therapeutische Maßnahmen in Abhängigkeit von Veränderungen des Zustands kranker Rinder ändern.
Da die Nekrobakteriose von Rindern für den Menschen eine ansteckende Krankheit ist, muss die geringste Infektionsmöglichkeit ausgeschlossen werden. Dazu müssen die Farmmitarbeiter die Grundregeln der persönlichen Hygiene kennen und befolgen, während der Arbeit auf dem Bauernhof Overalls und Handschuhe tragen. Hautwunden sollten rechtzeitig mit Antiseptika behandelt werden.
Präventivmaßnahmen

Behandlung von Rinderhufen
Die Behandlung und Prävention der Nekrobakteriose von Rindern sollte auch die Verbesserung der gesamten Wirtschaft umfassen, in der die Krankheit festgestellt wurde. Sie müssen in der Farm in den Quarantänemodus wechseln. Während dieser Zeit können Sie kein Vieh importieren und exportieren. Alle Änderungen in Bezug auf Wartung, Pflege und Ernährung müssen mit dem Tierarzt vereinbart werden. Kranke Kühe mit Verdacht auf Nekrobakteriose werden aus gesunden Kühen isoliert, ein Behandlungsschema wird verschrieben, der Rest wird geimpft. Alle Tiere müssen alle 7-10 Tage durch spezielle Korridore mit Desinfektionslösungen in Behältern gefahren werden.
Für die Schlachtung von Rindern müssen spezielle sanitäre Schlachthöfe vorbereitet und die Genehmigung des Veterinärdienstes eingeholt werden. Kuhkadaver werden verbrannt, Sie können sie auch zu Mehl verarbeiten. Milch darf erst nach Pasteurisierung verwendet werden. Die Quarantäne wird einige Monate nach der Heilung oder Schlachtung des letzten infizierten Tieres aufgehoben.
Allgemeine vorbeugende Maßnahmen umfassen Folgendes:
- Die Herde muss mit gesunden Personen von wohlhabenden Farmen vervollständigt werden.
- ankommende Kühe werden für einen Monat unter Quarantäne gestellt;
- Bevor neue Personen in die Herde eingeführt werden, müssen sie mit einer Desinfektionslösung durch einen Korridor gefahren werden.
- tägliche Reinigung der Scheune;
- Desinfektion der Räumlichkeiten einmal alle 3 Monate;
- Hufverarbeitung 2 mal im Jahr;
- rechtzeitige Impfung;
- ausgewogene Ernährung;
- Vitaminpräparate und Mineralien;
- regelmäßige Untersuchung der Tiere auf Verletzungen.
Um die Entwicklung einer Nekrobakteriose zu verhindern, sollte die Erhaltung der Tiere normalisiert werden. Die Räumlichkeiten müssen rechtzeitig aus dem Mist entfernt werden, und der Boden muss gewechselt werden, um Verletzungen zu vermeiden.
Fazit
Die Rindernekrobakteriose ist eine komplexe systemische Erkrankung infektiöser Natur. Zur Risikogruppe gehören vor allem Jungvieh. In den Anfangsstadien der Krankheit ist die Prognose mit einem kompetenten Behandlungsschema, das von einem Tierarzt erstellt wird, günstig. Nekrobakteriose wird von Betrieben, die aktiv an der Prävention beteiligt sind, erfolgreich vermieden.